KMI는 첨단 의료장비를 보유하고 있으며,
정확하고 안전한 검사를 약속드립니다.

로그인
로그인하시면 이용이 편리해져요!KMI는 첨단 의료장비를 보유하고 있으며,
정확하고 안전한 검사를 약속드립니다.

3.0t mri
제조업체 : 지멘스
MRI(자기공명영상)는 자기장과 고주파를 이용해 인체 내부를 정밀하게 촬영하는 검사입니다.방사선을 사용하지 않아 안전하며, 통증 없이 진행됩니다.
MRI장비를 활용한 MRA(자기공명혈관촬영)검사는 뇌혈관 구조를 정밀하게 영상화하여 뇌동맥류 등 뇌혈관 이상의 진단에 유용합니다. 3.0T(테슬라) MRI는 기존 1.5T 대비 2배 강화된 자기장으로 더 빠르고 선명하게 작은 신경·혈관 병변까지 확인할 수 있습니다.
또한 소음을 약 80%까지 줄여, 더 조용하고 편안하게 검사를 받을 수 있어 폐쇄공포증, 고령층도 안심하고 검사가 가능합니다.
단, 심장박동기·스텐트 등 금속성 의료기기를 이식한 경우에는 검사 전 반드시 의료진과 상담이 필요합니다.

| 척추 (경추, 요추) | 추간판 탈출 및 팽윤, 척추관 협착, 척추 골절 및 뼈의 구조 이상진단 등 |
|---|---|
| 관절 | 관절의 근육, 인대, 연골 손상 진단 |
| 뇌 | 뇌경색,뇌출혈,뇌종양 등의 뇌질환 및 두개골 골절 |
| 뇌혈관 | 뇌동맥류, 혈관 협착, 뇌혈관 기형 등의 뇌혈관 질환 |
| 기타 | 각종 악성 종양의 병기 진단 |
128채널 ct
제조업체 : 지멘스
CT(컴퓨터 단층촬영)는 X선을 이용해 인체의 단면을 촬영하는 장비입니다. 일반 X선보다 몸속 장기나 조직을 세밀하게 관찰할 수 있어 병변의 정확한 위치·크기·형태를 파악하는 데 매우 유용합니다.
128채널 CT는 기존 64채널 대비 한 번의 회전으로 2배 넓은 범위를 촬영하며, 검사 시간이 단축되고 영상 해상도가 향상된 최신 장비입니다. 또한 방사선 노출을 최소화한 저선량 기술을 적용했습니다.
정기 건강검진에서 심혈관질환, 폐, 결절, 복부, 장기 질환 등의 조기 발견에 탁월한 성능을 발휘합니다. 임신 중이거나 임신 가능성이 있는 경우, 조영제 알레르기가 있는 경우 반드시 의료진과 상담이 필요합니다.
| 뇌 | 뇌경색,뇌출혈,뇌종양 등의 뇌질환 및 두개골 골절 |
|---|---|
| 척추(경추, 요추) | 추간판 탈출 및 팽윤, 척추관 협착, 척추 골절 및 뼈의 구조 이상진단 등 |
| 폐 | 폐암,폐결핵,폐기종,폐결절 등의 폐 질환 및 기관지염, 늑막염 등 |
| 복부비만 | 외관상으로 진단하기 어려운 내장지방과 피하지방 측정 |
| 심장석회화 | 관상동맥 석회화 |
AI 대장내시경 시스템
AI(Artificial Intelligence, 인공지능) 대장내시경 시스템은 내시경 영상에서 용종(폴립), 조직 이상 부위를 실시간으로 분석, 표시해 주는 첨단 기술입니다. 검사하는 의사를 보조하여 작은 용종이나 초기 병변도 빠르고 정확하게 발견할 수 있습니다.
AI 알고리즘이 사람의 눈으로 놓치기 쉬운 미세 병변까지 탐지하는 역할을 합니다. 이를 통해 대장암 등 소화기질환의 조기 발견률이 크게 향상되었습니다.
또한 AI 시스템은 검사 중 실시간으로 화면에 이상 부위를 표시해 의사가 즉시 확인하고 판단할 수 있도록 도와줍니다. 이를 통해 더 빠르고 안전하게 검사가 가능합니다.

| 용종 및 선종 | 대장암의 원인이 되는 선종성 용종 및 평탄형 용종 조기 발견 |
|---|---|
| 조기 대장암 | 육안으로 구분이 어려운 초기 대장암 병변 실시간 탐지 |
| 염증성 질환 | 대장염, 궤양성 대장염 등 염증성 변화 탐지 및 경과 관찰 |
| 혈관, 점막 이상 | 점막 출혈, 혈관 확장, 점막 변형 등 비정상 부위 탐지 |
| 기타 이상 소견 | 폴립, 미세 병변, 비정형 점막 패턴 등 육안상 비정상 부위 실시간 표시 |
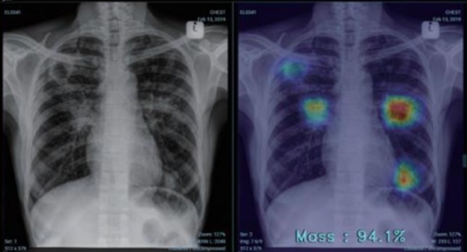
흉부 X-선 영상 AI 진단 보조
흉부 X선 영상 AI 진단보조는 AI(Artificial Intelligence, 인공지능)를 활용한 흉부 X선 영상 분석 솔루션입니다. 흉부 영상을 AI가 분석하여 결과를 시각화하고, 점수를 제공하여 의사가 보다 빠르고 정확하게 진단할 수 있도록 도와줍니다.
AI가 영상을 자동 인식해 정상과 비정상 부위를 시각적으로 표시하여 폐렴, 폐결핵, 폐암 등 16가지 폐 병변의 판독을 돕습니다. 이를 통해 다양한 폐질환의 조기 발견율을 높입니다.

| 폐 | 폐렴, 폐결핵, 폐암, 폐기종, 폐섬유화, 흉막삼출 등 |
|---|---|
| 심장 | 심장비대, 심부전으로 인한 폐울혈, 대동맥확장 등 |
| 늑골 및 흉벽 | 늑골 골절, 흉곽 변형, 연부조직 종괴 등 |
| 횡경막 | 횡경막 탈장, 횡경막 상승 등 |
| 기관 및 종격동 | 기관지 확장, 종동 종양, 림프절 비대, 기관 변위 등 |
임상화학 분석기기를 통해 혈청 내 여러 화학물질을 동시에 측정하여 혈당검사, 간기능검사, 심혈관질환 및 지질검사, 신장기능검사, 전해질, 염증검사, 철 대사, 통풍 검사등의 일반화학 검사와 당화혈색소 (HbA1c) 등의 특수화학 검사를 수행합니다.
Total Laboratory Automation System(TLA)을 이용해 검체를 분석하는 자동화 검사실로 혈청의 항원-항체 반응을 면역 화학 발광측정법으로 측정하여 A,B,C형 간염, 에이즈 등의 바이러스 검사와 간암, 대장암, 췌장암, 난소암, 전립선암, 유방암, 폐암 등의 종양표지자 검사를 수행 하며 여러 가지 갑상선 호르몬을 검사하는 갑상선 기능 검사 및 심근경색 관련 검사, Vitamin D, 기타 호르몬 검사 등 다양한 면역 혈청학적 검사를 수행합니다.
Whole Blood 검체를 이용해 전체 혈액 구성 요소를 평가하고, 혈구의 성장 및 형태학적 관찰을 통해 백혈병을 감별 진단하며, 성분 분석을 통해 빈혈, 염증, 감염, 혈소판 장애 등 다양한 혈액질환을 진단합니다. 이외에 ABO ,Rh 혈액형 검사를 수행합니다.
요 10종 검사를 통해 소변 성분을 분석하여 신장 기능, 비뇨기 질환, 당뇨병, 감염 등 다양한 질병의 진단과 모니터링을 수행하며, 그 외에 니코틴 및 마약 screening 검사 및 미생물(장티푸스,세균이질,파라티푸스)검사, 대장암 선별검사인 분변 잠혈 검사와 M2PK 검사를 진행합니다.
채취된 병원체의 핵산을 분석하여 감염성 질병을 진단하는 PCR 검사로 29종의 유전형을 분석하는 인유두종 바이러스(Human papillomavirus, HPV)검사와 성매개 감염 원인균 12종 STD 검사를 수행합니다.
장기나 조직을 육안으로 보고, 필요한 부위의 조직 편을 표본제작 후 현미경하에서 관찰합니다. 장기의 현재 상태 및 질병상태를 진단합니다.
자궁경부(질) 또는 객담, 체액등 채취된 세포 샘플을 분석하여 질병의 종류, 정도 및 특성을 확인하는 데 사용되며, 질병의 조기발견과 정확한 진단에 중요한 역할을 합니다.
전통적인 병리학의 프로세스를 디지털 기술로 대체 또는 보완하는 것을 의미하며, 이 시스템은 병리학적인 검체(조직 또는 세포 검체)를 디지털 이미지로 변환하고 저장하여, 의료 전문가들이 전자적인 형태로 해당 이미지를 관찰하고 분석할 수 있도록 합니다.